Cosa sono le recessione gengivali
La recessione gengivale è una condizione patologica dei tessuti gengivali (parodontali) attorno al dente che consiste nella migrazione apicale del margine gengivale ed esposizione della superficie della radice del dente.
L’effetto visibile dei denti allungati o del cambiamento dell’architettura gengivale con i relativi inestetismi del sorriso sono i motivi che spingono il paziente a rivolgersi al professionista.
Negli USA la presenza diffusa di recessioni viene definita “long in the tooth”, che è sinonimo di vecchiaia o di sorriso vecchio perché l’effetto antiestetico che si riflette nel sorriso è quello di denti apparentemente lunghi tipico delle persone molto anziane.
In realtà, come vedremo, tale situazione non è sempre frutto dell’età avanzata ma molto spesso di abitudini errate.
Esiste una stadiazione internazionale (Miller) di queste lesioni che ne definisce la gravità e la prognosi dalla I classe alla IV.
Più alta è la classe più sfavorevole è la prognosi, ovvero più si rischia di perdere il dente interessato; in pratica, nella III e nella IV classe, anche dopo il trattamento chirurgico, non è più possibile ottenere perfettamente la ricopertura completa del dente.
Perché si formano le recessioni gengivali?
Sono situazioni patologiche molto diffuse, che hanno spesso origine da inappropriate tecniche di igiene orale domiciliare cioè l’errato spazzolamento.
> Come scegliere lo spazzolino e il dentifricio giusti
Il più delle volte l’eccesso di traumi gengivali dovuti all’uso di tecniche errate di spazzolamento, l’uso di spazzolini con setole troppo rigide, l’eccesso di forza che il paziente impiega per spazzolarsi i denti provoca un quotidiano traumatismo cronico che distrugge gradatamente il margine gengivale e di conseguenza l’attacco parodontale con componente ossea dell’alveolo dentale.
A volte le recessioni gengivali sono l’effetto della malattia parodontale, una patologia molto comune conosciuta sotto il nome di “piorrea” che determina una perdita di attacco gengivale.
Anche le gengiviti croniche, l’alcolismo, il tabagismo, l’uso di sostanze irritanti o droghe sono fattori che determinano l’insorgenza di recessioni gengivali.
La visita dal professionista è fondamentale per porre una diagnosi corretta e per identificare la causa del fenomeno patologico.
Trattamento recessioni gengivali a Padova e Treviso
L’odontoiatria estetica oggi può fare molto!
ll ripristino della funzione gengivale è di fondamentale importanza per la protezione delle parti più vulnerabili dei denti e dell’osso di sostegno e l ‘integrità dei tessuti gengivali. Tutte le patologie che interessano le gengive hanno spesso come conseguenza, se non trattate, un peggioramento progressivo ed un coinvolgimento di altre componenti fino alla perdita di elementi dentari.
La presenza di un tessuto gengivale cheratinizzato (la gengiva più dura) è di fondamentale importanza per mantenere una buona salute orale.
Sul piano dell’estetica, un sorriso con difetti gengivali è poco armonico ed è un fattore di invecchiamento del sorriso.
Una volta individuata la causa ed eliminata, è possibile intervenire attraverso particolari interventi di chirurgia plastica gengivale o chirurgia mucogengivale.
Per chirurgia mucogengivale si intende la chirurgia plastica applicata alle gengive e finalizzata al ripristino estetico e funzionale dei tessuti gengivali.
Questa specifica branca odontoiatrica ha come obiettivi:
- il riequilibrio dell’architettura gengivale
- il ripristino della funzione di supporto e di copertura della radice dei denti
Per scongiurare le conseguenze negative per la salute orale della presenza di zone scoperte nei denti, la chirurgia mucogengivale mira al riequilibrio dello spessore e della quantità di tessuto e alla cura dell’estetica.
Oggi, in mani esperte, le tecniche sono sicure, con fastidi post operatori molto contenuti e con un’ottima predicibilità di successi.
Gli interventi specifici più comuni e più attuali prevedono il prelievo di tessuto connettivo dal palato con successivo innesto nella zona da trattare.
Esistono poi altre diverse valide tecniche che hanno l’obiettivo di riposizionare i tessuti gengivali in senso coronale (verso la corona del dente) coprendo la radice; altri interventi prevedono una tecnica a scorrimento laterale dei tessuti, altri prevedono l’uso di tecniche a tunnel con l’impiego di tessuti coltivati in vitro e molte altre ancora.
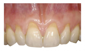
Intervento di chirurgia plastica gengivale con innesto di tessuto connettivale prelevato dal palato (dott. A.Amato )
Soffri di recessioni gengivali?
Scopri come curarle a Padova e Treviso, richiedi maggiori informazioni!
Articoli correlati:
« Ricostruzioni dentali estetiche a Padova e Treviso Estetica in odontoiatria: la chiave per avere un sorriso ideale »



